前列腺脓肿的诊断与鉴别
↓
↓
▶ 诊断思路:
前列腺脓肿好发于 40 岁以上男性,通常认为是急性前列腺炎的一种后遗症, 是急性前列腺炎未得到及时治疗或治疗不当, 使其隐匿发展,逐渐形成前列腺微小脓肿, 最终成为前列腺脓肿。细菌可通过血液、淋巴及直接蔓延三种途径侵入前列腺。细菌随尿流逆行 感染是引起前列腺感染 最常见的途径, 致病菌常为大肠杆菌, 儿童前列腺脓肿往往是原发灶的致病菌经血源性播散感染前列腺,最常见致病菌为金黄色葡萄球菌。前列腺脓肿的致病因素包括全身性疾病、 膀胱出口梗阻、尿道器械检查和留置导尿管, 糖尿病是最常见的全身性易感因素。
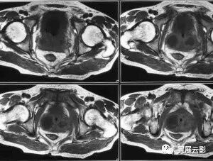
前列腺脓肿早期局部腺体充血、水肿,继而坏死、液化形成脓腔,脓腔可单发或多发,脓肿壁早期由炎症充血带构成,晚期由纤维肉芽组织构成完整脓肿壁。
前列腺脓肿不同病理时期 MRI 表现也不同, 在影像学表现上呈多样性,MRI 表现取决于脓肿腔内结构及脓肿壁结构,典型前列腺脓肿脓腔为坏死液化组织、脓肿壁为纤维肉芽组织,脓肿常呈类圆形,脓腔 T1WI 呈低信号,T2WI 呈高信号,脓肿壁 T1WI呈等或稍高信号,脓腔内分隔T2WI 呈低信号,增强脓肿边界清楚,壁及分隔明显强化,分隔可不完整,脓肿壁厚薄均匀,边缘光滑,脓腔不强化。脓液内有炎性细胞和纤维素的碎屑时,T1WI 呈点、斑状高信号,T2WI 高信号区有不规则稍低信号。前列腺脓肿壁早期由炎症充血带构成,增强脓腔周围厚环状中等度强化,边界欠清。脓肿壁强化程度及边界反映了脓肿形成不同时期,多发前列腺脓肿,因脓肿形成病理时期不同,脓肿壁强化表现不同。
鉴别诊断:
1、前列腺癌:多发生老年男性,临床多有前列腺特异抗原增高,多发生于周围带,单个或多个结节,周边带与中央带界线消失,增强表现快进快出改变,MRS表现典型的高Cho、低Cit谱型。
2、与前列腺肉瘤鉴别:后者发病年龄轻, 7 5 % 40 岁以下, 早期不出现症状, 故当发现时前列腺体积明显增大, 呈分叶状, 肿瘤常环绕膀胱颈并向周围延伸, 40% 有淋巴结转移和肺、 骨骼、 肝等转移, 增强扫描不均匀性强化, 无环状强化特征; 前列腺脓肿发病年龄较大, 一般无淋巴结肿大, 脓肿向直肠周围系膜蔓延常表现为炎性渗出改变, 增强扫描脓肿壁环状强化, 脓腔无强化可鉴别。
3、前列腺增生:多发中老年,动态增强的早期表现为明显不均匀的强化,强化持续时间较长,动态增强的晚期仍表现为较高的信号。
沧州清池医院位于新华区清池大道东侧,拥有7层医疗大楼的男性医院。专长诊治男子性功能障碍、包皮包茎、生殖感染、前列腺疾病等各种男性疾病,为沧州广大男性朋友提供专业健康诊疗服务。
医院地址:沧州市新华区清池大道东侧,永济路北侧
公交路线:8路、10路、29路、612路、656路公交至新华区法院站或天天家园西门下车


