前列腺那些事儿(4):结石、钙化、囊肿和其他
1. 前列腺钙化和结石怎么区分?
前列腺有真性结石和假性结石之分。
来源于尿路(肾、输尿管和膀胱)的结石在排除体外的过程中,停留于前列腺尿道段内,称为真性结石。
位于前列腺实质内的钙化斑点,其性质和影像学表现与结石一样,无临床症状不影响排尿,不需要处理,所以称为假性结石。
为避免误解,对只在尿道内的强回声才称为结石,前列腺实质内的强回声称为钙化(图 1)。
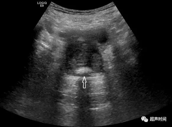
图 1 经腹部超声显示前列腺钙化。患者 80 岁,前列腺体积 54 cm³,中叶突向膀胱,外周带变薄,外科包膜处钙化(箭头示)
2. 前列腺钙化有意义吗?
男性 40 岁以后前列腺内常见钙化,超声上表现为强回声斑点,超声报告「前列腺钙化」。见到前列腺钙化不必恐癌,这恰恰是前列腺良性增生的标志,没有实际意义。
前列腺钙化最常见于前列腺的中后份,是由于外腺区分泌腺液的通道被阻,腺液内水分吸收后,固体成分聚集钙盐沉积,长时间形成钙化斑点。
超声检查时,在前列腺中后份有多颗大小不等的点状强回声,大小约 1~3 mm,很少有超过 10 mm 的钙化。
前列腺这一钙化带是内外腺的分界,也是外科包膜的标志。前列腺钙化表示良性增生(图 2),前列腺癌少有钙化。
图 2 前列腺增生伴钙化。前列腺体积 62 cm³,外科包膜多发钙化(箭头),外周带变薄,中央区和移行区增大,精囊腺厚 1.2 cm(测量标志)
3. 前列腺囊肿代表什么?
常见的前列腺囊肿有 3 种,包括射精管扩张、病变组织囊性变和脓肿。
射精管囊肿:位于前列腺中部,横切面呈圆形,纵切面呈椭圆形暗区,内径约 5 mm左右,很少超过 10 mm(图 3)。
病理性囊性变:局部组织缺血坏死液化所致,表现为囊性变,多见前列腺中-重度增生和癌变的组织内。囊变可单发,也可多个,形态不规则,位于病变组织内(图 4)。
脓肿:多发生于炎症和结核,常发生在青壮年,前列腺增生不明显,囊肿暗区较大,直径 15~30 mm,囊液浑浊,呈低回声,二维超声难与低回声结节鉴别,超声造影可以确诊,并可在超声引导下穿刺引流(图 5)。
图 3 经直肠线阵超声示射精管囊肿。患者 35 岁,血精伴排尿痛,射精管囊状扩张,精囊腺内径 1.6 cm
图 4 患者 80 岁,前列腺体积 120 cm³,增生病变区小囊肿(箭头)
图 5 前列腺脓肿。患者 45 岁,尿频尿痛。前列腺体积30 cm³,前列腺左侧叶内见大块低回声病灶,超声造影无增强
4. 超声可以检测精囊腺吗?
可以。
精囊腺位于前列腺底部两侧,内径 10 mm 以内(图 6)。经腹部和经直肠超声均可检测,后者显示更清晰,呈低回声,形态不规则,比较清楚,无血流信号。
精囊腺扩张常见于前列腺增生,是增生组织压迫射精管致精囊腺扩张(图 7)。
精囊腺炎表现为精囊扩张、脓肿,常伴发于前列腺炎。精囊腺脓肿超过 20 mm,可在超声引导下做穿刺引流。
图 6 前列腺和精囊腺示意图
图 7 精囊腺炎并射精管囊肿。患者 58 岁,血精。经直肠超声显示精囊腺内径 1.6 cm,回声杂乱。SV:精囊腺
沧州清池医院位于新华区清池大道东侧,拥有7层医疗大楼的男性医院。专长诊治男子性功能障碍、包皮包茎、生殖感染、前列腺疾病等各种男性疾病,为沧州广大男性朋友提供专业健康诊疗服务。
医院地址:沧州市新华区清池大道东侧,永济路北侧
公交路线:8路、10路、29路、612路、656路公交至新华区法院站或天天家园西门下车


